238456154275

238456154275
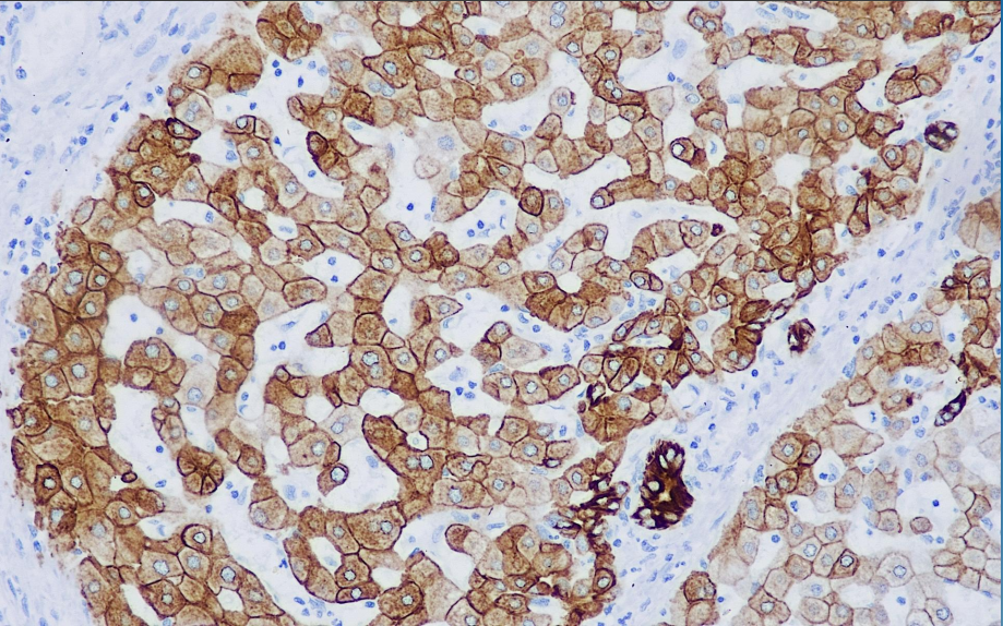
Clone Number: B22.1&23.1
Isotype: mouse monoclonal antibody IgG1/K
Cellular localization: cytoplasm
Tissue: paraffin/frozen
Positive control: Liver
Antibody incubation time: 30min
Antigen repair: Thermal repair (EDTA)
This antibody recognizes cytokeratins with molecular weights of 52 kD (CK8) and 45 kD (CK18), respectively, and primarily labels various monolayers of epithelium including glandular epithelium; squamous epithelium does not generally express such antigens. Therefore it can be used as a marker representative of glandular epithelium and tumors of its origin.
CK8&18 antibody reagents can specifically bind to CK8&18 molecular antigens. Immunohistochemistry kits containing CK8&18 antibody reagents are suitable for the auxiliary diagnosis of squamous cell carcinoma and adenocarcinoma.