232446143270

232446143270
Clone number: TS1S
isotype: mouse monoclonal antibody
Cellular localization: cytoplasm/membrane
Tissue: paraffin/frozen
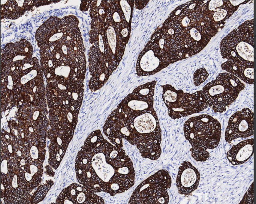
Positive control: Gastric adenocarcinoma/stem cell carcinoma
Antibody incubation time:
Antigen repair: Heat repair (EDTA)
In normal tissues, CK8 is expressed in almost all non-squamous epithelium, such as colon, stomach, small intestine, tracheal epithelium and migratory epithelium, and is also expressed positively in malignant tumors, such as ovarian cancer, adenocarcinoma of gastrointestinal tract, adenocarcinoma of thyroid gland, ductal carcinoma of mammary gland, neuroendocrine tumors, hepatocellular carcinoma and renal tumors. It is mainly used to diagnose cancer of epithelial origin and metastatic malignant tumors.
CK8 antibody reagents can specifically bind to CK8 molecular antigens. Immunohistochemistry kits containing CK8 antibody reagents are suitable for the auxiliary diagnosis of epithelial-derived cancers and metastatic malignant tumors.