5701092385660

5701092385660
Clone number: bcl-2/100/D5
Isotype: mouse monoclonal antibody IgG1/K
Cellular localization: cytoplasm/membrane
Tissue: paraffin/frozen
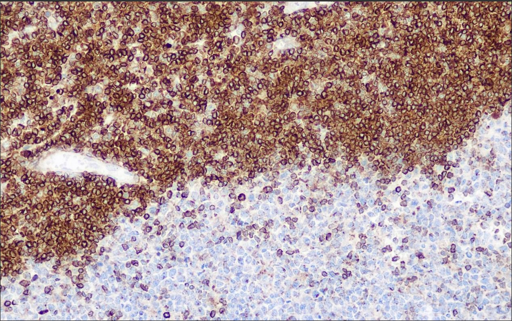
Positive control: tonsils
Antibody incubation time: 30-60min
Antigen repair: Heat repair (EDTA)
Bcl-2, an oncogene found at the t(14;18) chromosome translocation breakpoint, is a cytogenetic marker of human follicular lymphoma and is also involved in the regulation of apoptosis. It is negatively expressed in lymphoid tissue reactive hyperplasia. This antibody is mainly used in the study of follicular lymphoma, hairy cell leukemia and apoptosis.
Bcl-2 Antibody Reagent binds specifically to Bcl-2 molecular antigen. Immunohistochemistry kits containing Bcl-2 Antibody Reagent are suitable for precise diagnosis of follicular lymphoma and hairy cell leukemia.