200361121231

200361121231
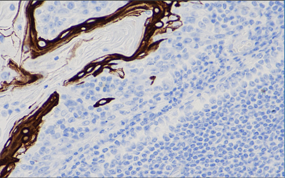
Clone number: BP6057
Isotype: rabbit monoclonal antibody IgG
Cellular localization: cytoplasm
tissue: paraffin/frozen
Positive control: tonsils
Antibody incubation time: 30-60min
Antigen repair: Heat repair (EDTA)
Cytokeratin 10 is a type I cytokeratin with a molecular weight of 56.5 kD, expressed in cells above the basal layer of stratified epithelium and keratinized epithelium. The expression of CK10 is associated with the maturation of malignant keratinocytes.
CK10 antibody reagents can specifically bind to CK10 molecular antigens. Immunohistochemistry kits containing CK10 antibody reagents are suitable for the auxiliary diagnosis of squamous cell carcinoma.