
Clone number:
Homozygous:
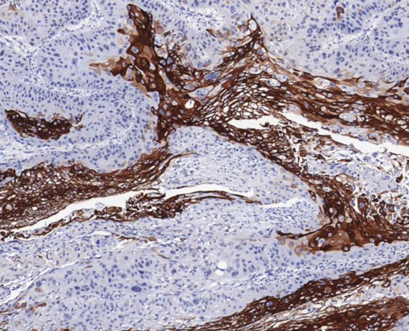
Cellular localization: cytoplasm/membrane
Adaptive tissue: paraffin/frozen
Positive control: Esophageal squamous cell carcinoma/oral cavity/bladder metastatic cell carcinoma
Antibody incubation time:
Antigen repair/heat repair (citric acid)
CK13 has a molecular weight of 53 kDa and mainly labels non-keratinized squamous epithelium, which can be used for the diagnosis of squamous carcinoma.
CK13 antibody reagents can specifically bind to CK13 molecular antigens. Immunohistochemistry kits containing CK13 antibody reagents are suitable for the auxiliary diagnosis of squamous cell carcinoma.