
Clone number: SP53
Isotype: rabbit monoclonal antibody IgG
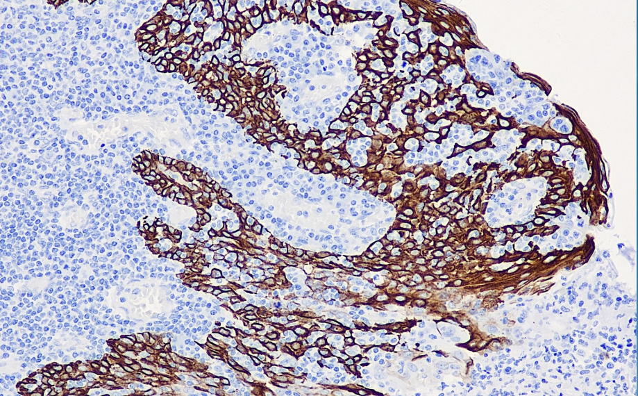
Cellular localization: cytoplasm
Tissue: paraffin/frozen
Positive control: tonsils
Antibody incubation time: 30-60min
Antigen repair: Heat repair (EDTA)
CK14 is a 50 kD cytokeratin expressed in complex epithelial cells and can also be used as a primary marker for squamous epithelium. It is generally used in combination with other CKs to identify whether tumor cells are derived from complex or monolayer epithelial cells.
CK14 antibody reagents can specifically bind to CK14 molecular antigens. Immunohistochemistry kits containing CK14 antibody reagents are suitable for the auxiliary diagnosis of squamous cell carcinoma and other single-layer epithelial carcinomas.