128223277591485

128223277591485
Clone number:
Homozygous:
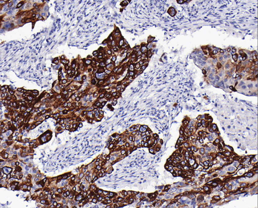
Cellular localization: cytoplasm/membrane
Adaptive tissue: paraffin/frozen
Positive control: skin/lung squamous cell carcinoma/cervical squamous cell carcinoma
Antibody incubation time:
Antigen repair: heat repair (EDTA)
CK15 is predominantly expressed in basal keratinocytes of complex epithelia and is mainly used in the diagnosis of squamous carcinoma.
CK15 antibody reagents can specifically bind to CK15 molecular antigens. Immunohistochemistry kits containing CK15 antibody reagents are suitable for the auxiliary diagnosis of squamous cell carcinoma.