128223277591485

128223277591485
Clone number:
Homozygous:
Cellular localization: cytoplasm/membrane
Adaptive tissue: paraffin/frozen
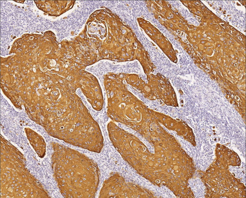
Positive control: squamous cell carcinoma of the skin/squamous cell carcinoma of the esophagus
Antibody incubation time:
Antigen repair/heat repair (citric acid)
CK16 has a molecular weight of 48 kDa and mainly labels keratinized and hyperplastic squamous epithelium, and is mainly used in the diagnosis of squamous carcinoma.
CK16 antibody reagents can specifically bind to CK16 molecular antigens. Immunohistochemistry kits containing CK16 antibody reagents are suitable for the auxiliary diagnosis of squamous cell carcinoma.