6371235385737

6371235385737
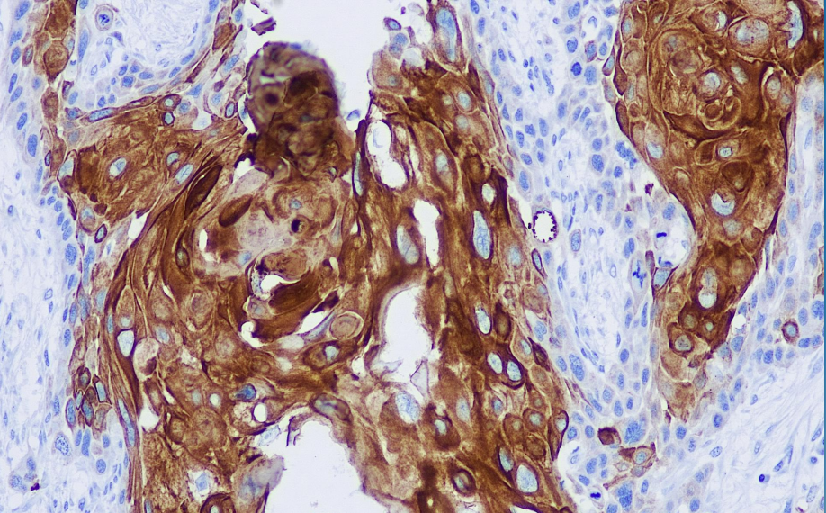
Clone number: EP98
isotype: rabbit monoclonal antibody
Cellular localization: cytoplasm
Tissue: paraffin/frozen
Positive control: Esophageal squamous carcinoma
Antibody incubation time: 30-60min
Antigen repair: Heat repair (EDTA)
This antibody recognizes cytokeratin with a molecular weight of 46 kD and is positive in normal tissues for basal cells of complex epithelia, basal cells of tracheal/laryngeal/bronchial pseudocomplex epithelial cells, and meibomian epithelial cells of salivary glands; in tumor tissues, this antibody recognizes squamous cell carcinomas, primarily of the lungs, uterine cervix, and oral cavity.
CK16 antibody reagents can specifically bind to CK16 molecular antigens. Immunohistochemistry kits containing CK16 antibody reagents are suitable for the auxiliary diagnosis of squamous cell carcinoma.