304580187352

304580187352
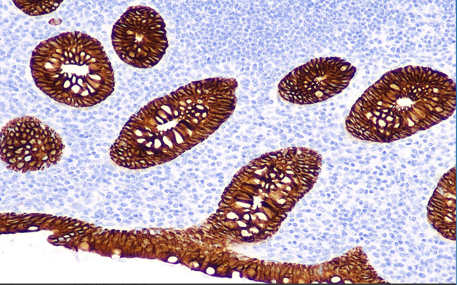
Clone number: BP6054
Isotype: rabbit monoclonal antibody IgG
Cellular localization: cytoplasm
tissue: paraffin/frozen
Positive control: appendix
Antibody incubation time: 30-60min
Antigen repair: Heat repair (EDTA)
This antibody recognizes cytokeratin 18 (45kD) and is used to detect tumors of certain epithelial origins (e.g., colonic epithelium, gastric mucosal epithelium, intestinal epithelium, and gallbladder epithelium), whereas complex squamous epithelium is often negative, and is useful in determining the cellular origin and distribution of metastatic tumors.
CK18 antibody reagents can specifically bind to CK18 molecular antigens. Immunohistochemistry kits containing CK18 antibody reagents are suitable for the auxiliary diagnosis of adenocarcinoma.