304589187352

304589187352
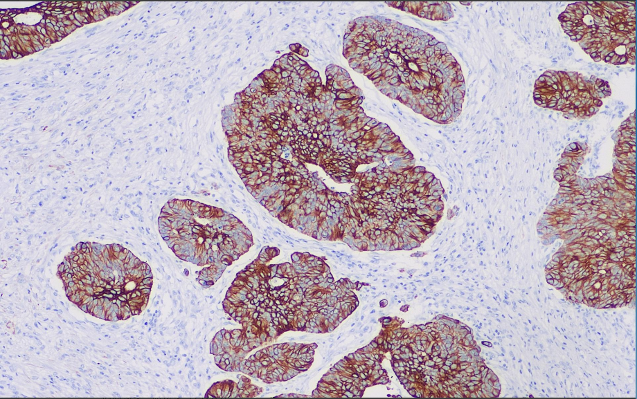
Clone number: EP72
Isotype: rabbit monoclonal antibody
Cellular localization: cytoplasm
Tissue: paraffin/frozen
Positive control: Colorectal cancer
Antibody incubation time: 30-60min
Antigen repair: Thermal repair (EDTA)
CK19 is present in normal epithelium and tumors of various epithelial origins, especially monolayer epithelium and mesothelium, and is negatively expressed in adult skin, hepatocytes, and cornea, while it is positively expressed in uterine epithelium, and epithelium and mesenchymal stroma of amniotic membrane.
CK19 antibody reagents can specifically bind to CK19 molecular antigens. Immunohistochemistry kits containing CK19 antibody reagents are suitable for the auxiliary diagnosis of adenocarcinoma, metastatic adenocarcinoma, and hepatocellular carcinoma.