513988319594

513988319594
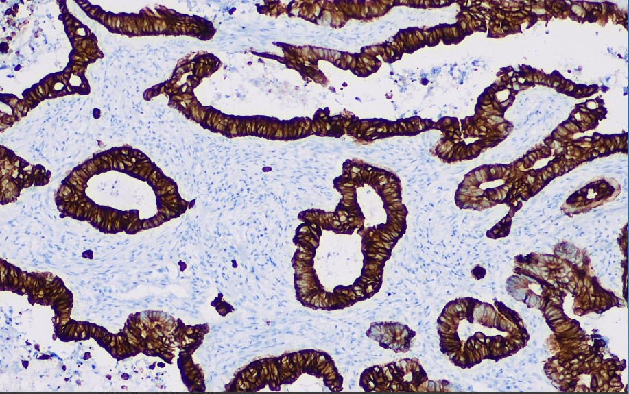
Clone number: EP23
isotype: rabbit monoclonal antibody
Cellular localization: cytoplasm
Tissue: paraffin/frozen
Positive control: Colorectal cancer
Antibody incubation time: 30min
Antigen repair: Thermal repair (EDTA)
Cytokeratin 20 (46kD) is present in normal gastrointestinal epithelium, migratory epithelium, Merkel cells and tumors of their origin, whereas it is negatively expressed in breast, lung, ovarian non-mucinous and neuroendocrine tumors. This antibody is primarily used to label gastrointestinal epithelial cells and tumors of their origin.
CK20 antibody reagents can specifically bind to CK20 molecular antigens. Immunohistochemistry kits containing CK20 antibody reagents are suitable for the auxiliary diagnosis of gastrointestinal adenocarcinoma, cholangiocarcinoma, pancreatic cancer, transitional cell carcinoma, and ovarian mucinous tumors.