99819007481155

99819007481155
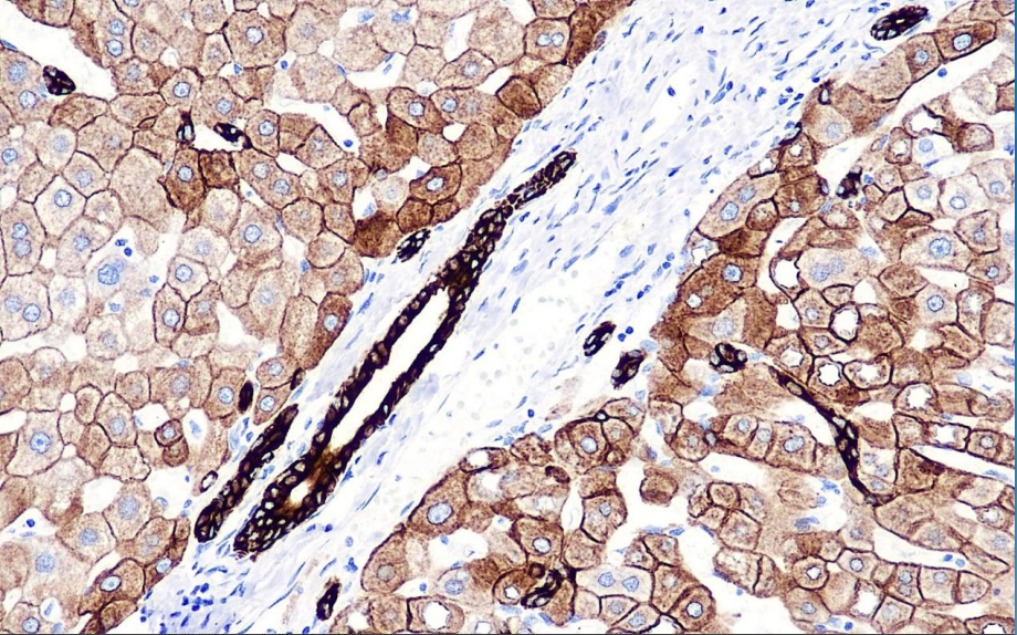
Clone number: CAM5.2
isotype: mouse monoclonal antibody
Cellular localization: cytoplasm
Tissue: paraffin/frozen
Positive control: Liver
Antibody incubation time: 30-60min
Antigen repair: Heat repair (EDTA)
CAM5.2 primarily recognizes keratin 8 and 7 and reacts mainly with glandular epithelium in normal tissues. In tumors, this antibody can recognize tumors derived from glandular epithelium, and binding to high molecular weight keratin can exclude squamous cell carcinoma. This antibody is mainly used in the study of adenocarcinoma and squamous cell carcinoma.
The CAM5.2 antibody reagent specifically binds to the CAM5.2 molecular antigen. The immunohistochemistry kit containing the CAM5.2 antibody reagent is suitable for the auxiliary diagnosis of adenocarcinoma and squamous cell carcinoma.