446826308517

446826308517
Clone number:
Homozygous:
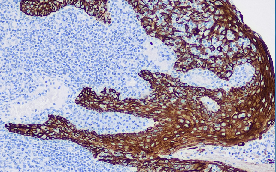
Cellular localization: cytoplasmic
Adaptive tissue: paraffin/frozen
Positive control: tonsils
Antibody incubation time: 30-60min
Antigen repair: Heat repair (EDTA)
34 betaE12 is a high-molecular-weight cytokeratin that recognizes human keratin intermediate filament proteins 1, 5, 10, and 14, and is expressed in squamous epithelium, ductal epithelium, and other stratified epithelia. This antibody is expressed in tumors such as lung squamous cell carcinoma, breast cancer, pancreatic cancer, cholangiocarcinoma, and bladder transitional cell carcinoma, but is not expressed in mesothelioma, lymphoma, melanoma, neuroblastoma, and neuroendocrine tumors. This antibody marks myoepithelial cells, and when used in combination with p63, it aids in distinguishing between benign and malignant prostate lesions and benign and malignant breast ductal tumors.
CK34Betaβ E antibody reagents can specifically bind to CK34Betaβ E molecular antigens. Immunohistochemistry kits containing CK34Betaβ E antibody reagents are suitable for the auxiliary diagnosis of lung squamous cell carcinoma, breast cancer, pancreatic cancer, cholangiocarcinoma, benign and malignant prostate lesions, and benign and malignant breast ductal tumors.