1615304010451870

1615304010451870
Clone number:
Isotype:
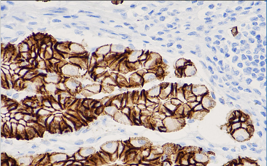
Cellular localization: cell membrane
Tissue: paraffin/frozen
Positive control: Gastric cancer
Antibody incubation time: 30-60min
Antigen repair: Heat repair (EDTA)
Claudin 18.2 is a subtype of the tight junction protein family. In normal tissues, it is exclusively expressed in differentiated gastric mucosal epithelial cells and is not expressed in gastric stem cells. It is also barely expressed in other normal tissues. However, it is highly expressed in various tumor tissues, such as gastric cancer (60%–80%), pancreatic cancer (50%), esophageal cancer (30%–50%), and lung cancer (40%–60%). Even in metastatic gastric cancer lesions, Claudin 18.2 exhibits high expression levels. This characteristic makes Claudin 18.2 a promising new target for targeted therapy and immunotherapy.
Claudin 18.2 antibody reagents can specifically bind to the Claudin 18.2 molecular antigen. Immunohistochemistry kits containing Claudin 18.2 antibody reagents are suitable for the auxiliary diagnosis of gastric cancer, pancreatic cancer, esophageal cancer, lung cancer, and other diseases.