6271149385726

6271149385726
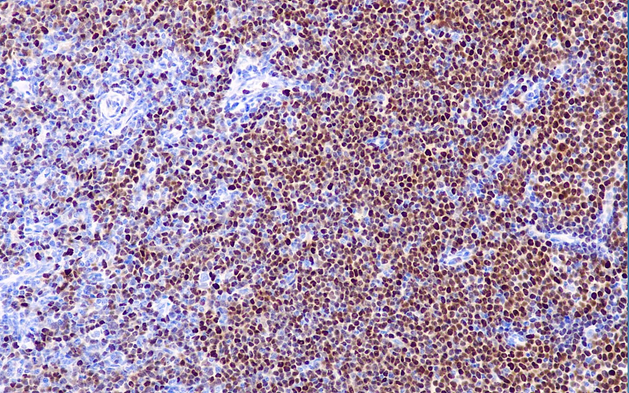
Clone number: SA38-08
isotype: mouse monoclonal antibody
Cellular localization: nucleus
Applicable tissues: paraffin/frozen
Positive control: Hodgkin's lymphoma
Antibody incubation time: 30-60min
Antigen repair: Heat repair (EDTA)
Cyclin D1 is one of the regulatory factors of the cell cycle, controlling the transition between different phases of the cell cycle by regulating the activity of protein-dependent kinases. It can be used to study the relationship between cell cycle biology and cancer. This antibody is overexpressed in various human tumors, such as lymphoma, breast cancer, esophageal cancer, liver cancer, and lung cancer, and can be used to distinguish between mantle cell lymphoma (MCL, Cyclin D1-positive) and chronic lymphocytic leukemia (CLL, Cyclin D1-negative).
The Cyclin D1 antibody reagent specifically binds to the Cyclin D1 molecular antigen. The immunohistochemistry kit containing the Cyclin D1 antibody reagent is suitable for the auxiliary diagnosis of lymphoma, breast cancer, esophageal cancer, liver cancer, and lung cancer, among others.