551998363638

551998363638
Clone number:
Isotype:
Cellular Localization:
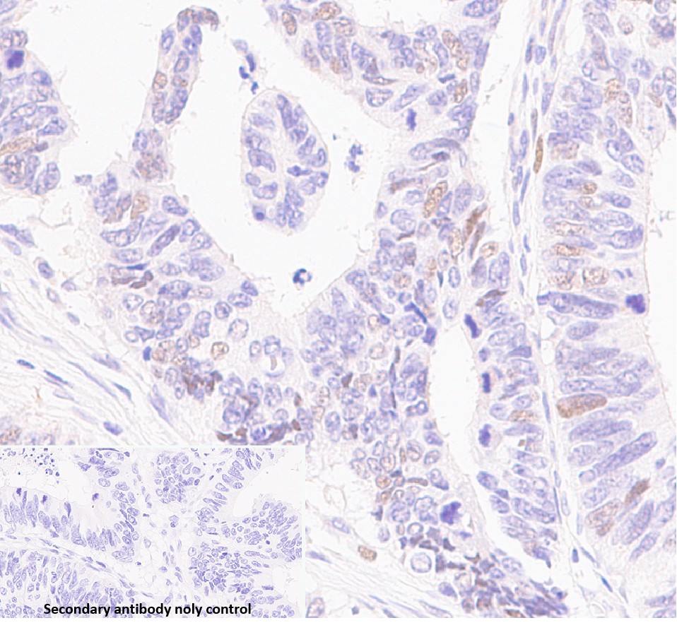
Adaptive tissue: paraffin section
Positive Control:
Antibody Incubation Time:
Antigen Repair:
Cyclins are regulators of cyclin-dependent kinases, and different cyclins control different specific phases of the cell cycle. Cyclin E is an important regulator of the G1 phase into the S phase of the cell cycle, which is generally not expressed in normal tissues, and is mainly used in the study of various malignant tumors as a prognostic indicator.
The cyclin E antibody reagent specifically binds to the cyclin E molecular antigen. The immunohistochemistry kit containing the cyclin E antibody reagent is suitable for assessing the proliferative activity and prognosis of tumors (such as breast cancer, ovarian cancer, and gastric cancer).