5801092385671

5801092385671
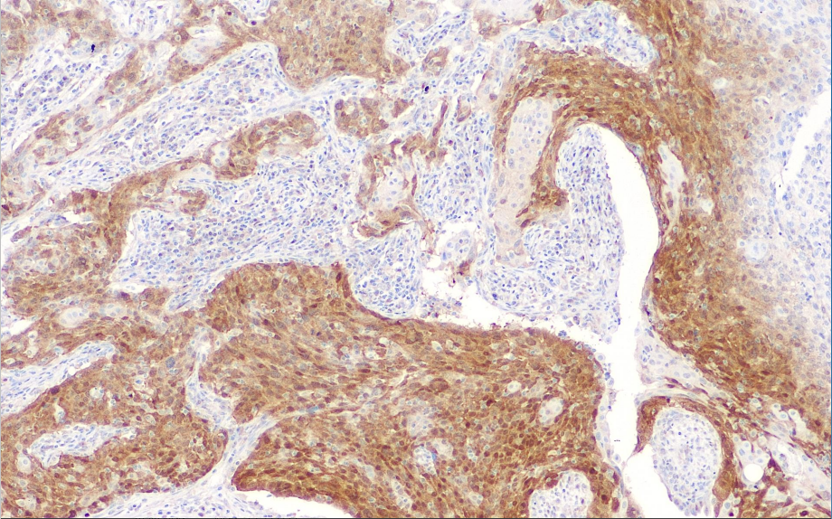
Clone number: EP180
isotype: rabbit monoclonal antibody
Cellular localization: nucleus/plasmid
Tissue: paraffin/frozen
Positive control: Cervical cancer
Antibody incubation time: 30-60min
Antigen repair: Heat repair (EDTA)
CDK4 is a cell cycle-dependent kinase that is a regulatory center for the G1-S phase of the cell cycle. The protein is continuously expressed throughout the cell cycle. Phosphorylation of CDK4 is a downstream event of stimulatory or inhibitory cytokine signaling that promotes cellular transformation and cell proliferation in the G1-S phase, and is a point of detection in the middle of the G1 phase, with peak expression of the CDK4 protein in the mid- to late-G1 phase. CDK4 is most closely related to cell carcinogenesis in the process of cell cycle abnormalities. It is overexpressed in many tumors, such as oral cavity squamous carcinoma, esophageal squamous carcinoma, pancreatic islet cell carcinoma, lung cancer, breast cancer, and colon cancer. It is used in combination with MDM2 for the diagnosis of liposarcoma and spindle cell sarcoma.
CDK4 antibody reagents can specifically bind to CDK4 molecular antigens. Immunohistochemistry kits containing CDK4 antibody reagents are suitable for the auxiliary diagnosis of dedifferentiated liposarcoma, cervical cancer, breast cancer, colon cancer, lung cancer, and other diseases.