142527558581650

142527558581650
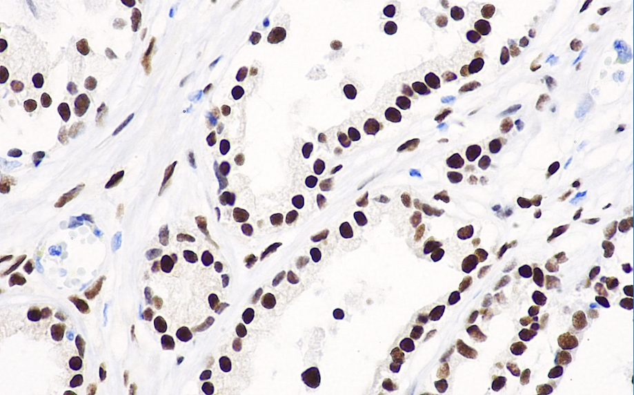
Clone number: EP120
Isotype: rabbit monoclonal antibody
Cellular localization: nucleus
Tissue: paraffin/frozen
Positive control: Prostate
Antibody incubation time: 30-60min
Antigen repair: Heat repair (EDTA)
AR plays an important role in prostate carcinogenesis, and studies have shown that AR expression correlates with histological typing and is positively correlated with tumor differentiation. In prostate cancer, it has guided the choice of anti-hormonal therapy. It is also currently used in breast cancer research.
AR antibody reagents can specifically bind to AR molecular antigens. Immunohistochemistry kits containing AR antibody reagents are suitable for the auxiliary diagnosis of prostate cancer and breast cancer.