
Clone number: polyclonal
isotype: rabbit polyclonal antibody
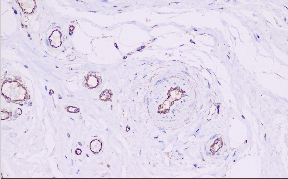
Cellular localization: cytoplasm/membrane
tissue: paraffin/frozen
Positive control: appendix
Antibody incubation time: 30-60min
Antigen repair: Heat repair (EDTA)
VEGFR2 is highly expressed on tumor vascular endothelial cells, and its binding to vascular endothelial growth factor promotes endothelial cell proliferation, migration and angiogenesis. Tumor angiogenesis can be understood by immunohistochemical detection of VEGFR2. VEGFR2 is an important target for vascular-targeted therapy of tumors, and its expression status can predict the efficacy of anti-angiogenic targeted drugs. For example, in colorectal cancer, if VEGFR2 is highly expressed in tumor tissues, the use of targeted drugs against VEGFR2 such as bevacizumab may be more effective, providing a basis for the clinical selection of appropriate treatment options.
VEGFR2 antibody reagents can specifically bind to the VEGFR2 molecular antigen. Immunohistochemistry kits containing VEGFR2 antibody reagents are suitable for assessing tumor angiogenesis (such as colorectal cancer and renal cancer) and predicting the efficacy of anti-vascular targeted therapies (such as apatinib and ramucirumab).