152029459021760

152029459021760
Clone number:
Isotype:
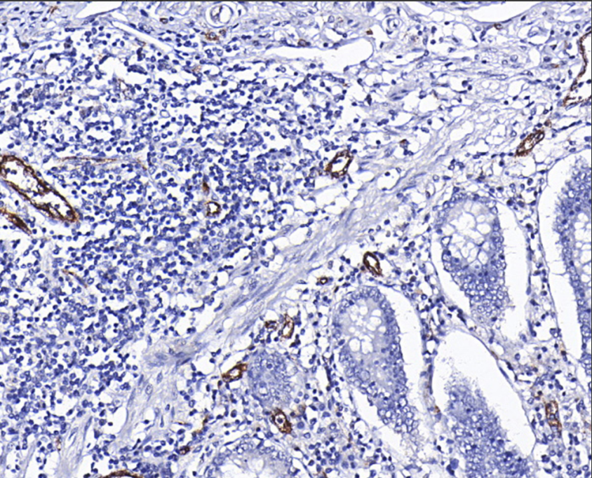
Cellular Localization: Cytoplasm/membrane
Adaptive tissue: paraffin section
Positive Control:
Antibody Incubation Time:
Antigen Repair:
Human vascular hemophilic factor (VWF) is a 309 KDa multimeric plasma glycoprotein that plays an important role in maintaining hemostasis by forming a molecular bridge between the subendothelial collagen matrix and the platelet-surface receptor complex GPIb-IX-V, which promotes platelet adhesion to the site of vascular injury VWF can also act as a molecular chaperone for coagulation factor VIII by delivering it to the site of injury to stabilize its heterodimeric structure and protect it from premature plasma clearance. VWF also acts as a molecular chaperone for coagulation factor VIII, delivering it to the site of injury, stabilizing its heterodimeric structure and protecting it from premature plasma clearance. VWF is synthesized by endothelial cells and has been reported to be expressed in many tumors of vascular origin. IHC results contribute to the classification of acute myeloid leukemia FAB type M7, angiosarcoma and epithelioid hemangioendothelioma.
VWF antibody reagents can specifically bind to VWF molecular antigens. Immunohistochemistry kits containing VWF antibody reagents are suitable for the auxiliary diagnosis of acute myeloid leukemia FAB type M7, angiosarcoma, and epithelioid hemangioendothelioma.