618950374715

618950374715
Clone number: polyclonal
isotype: rabbit polyclonal antibody
Cellular localization: cytoplasm/membrane
Tissue: paraffin/frozen
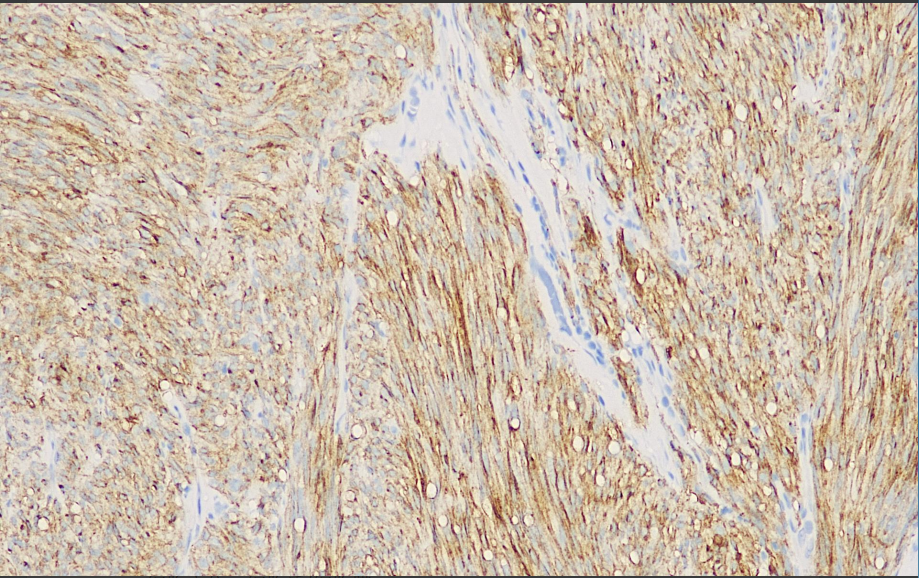
Positive control: Gastrointestinal mesenchymal tumor
Antibody incubation time: 30-60min
Antigen repair: Thermal repair (citric acid)
PDGFRa is one of the important markers of GIST, and PDGFRa gene mutation is present in about 5% - 10% of GIST with high protein expression. Immunohistochemical detection of PDGFRa can help in the diagnosis of GIST, especially for CD117-negative GIST cases, and the detection of PDGFRa can improve the diagnostic accuracy. Some soft tissue tumors, such as fibromatosis and bulging cutaneous fibrosarcoma, may be morphologically similar to GIST. the expression of PDGFRa in these tumors is different from that of GIST, and the detection of PDGFRa by immunohistochemistry in conjunction with other markers can help in differential diagnosis and avoid misdiagnosis.
PDGFRα antibody reagents can specifically bind to PDGFRα molecular antigens. Immunohistochemistry kits containing PDGFRα antibody reagents are suitable for the auxiliary diagnosis of gastrointestinal stromal tumors (GIST) and certain sarcomas (such as fibrosarcoma).