257494198297

257494198297
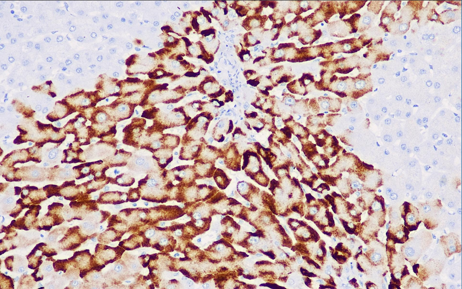
Clone number: OTI1D3
isotype: mouse monoclonal antibody
Cellular localization: cytoplasm
Applicable tissues: paraffin/frozen
Positive control: HBV-infected liver tissue
Antibody incubation time: 30-60min
Antigen repair: Thermal repair (EDTA)
This antibody reacts with the ad/ay subtype of hepatitis B virus surface antigen and shows diffuse coloration in the cytoplasm of infected tissues. It is mainly used in liver tissues infected by the hepatitis B virus, and is also used in studies of the correlation between hepatitis B virus infection and cirrhosis and hepatocellular carcinoma.
HBsAg antibody reagents can specifically bind to HBsAg molecular antigens. Immunohistochemistry kits containing HBsAg antibody reagents are suitable for the auxiliary diagnosis of diseases related to hepatitis B virus surface antigen infection.