238456198275

238456198275
Clone number: polyclonal
isotype: rabbit polyclonal antibody
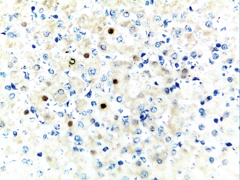
Cellular localization: nucleus
Tissue: paraffin/frozen
Positive control: HBV-infected liver tissue
Antibody incubation time: 30-60min
Antigen repair: Thermal repair (EDTA)
HBcAg antibody reacts with the core antigen of the hepatitis B virus, and the positive site is mainly the nucleus of the hepatocyte, but positive coloration can also be seen in the perinuclear cytoplasm. It is mainly used to label hepatitis B virus-infected liver tissues, and can also be used in studies on the correlation between hepatitis B virus infection and cirrhosis and hepatocellular carcinoma.
HBcAg antibody reagents can specifically bind to HBcAg molecular antigens. Immunohistochemistry kits containing HBcAg antibody reagents are suitable for the auxiliary diagnosis of diseases related to hepatitis B virus surface antigen infection.