399788231462

399788231462
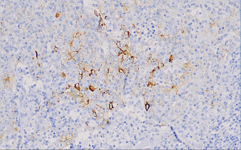
Clone number: CS1-4
Isotype: mouse monoclonal antibody IgG1
Cellular localization: cytoplasm/membrane
Suitable tissue: paraffin/frozen
Positive control: EBV infected tissue
Antibody incubation time: 30-60min
Antigen repair: Thermal repair (EDTA)
Epstein-Barr virus (EBV) is a human herpesvirus associated with many tumors. Such as nasopharyngeal carcinoma, infectious mononucleosis, gastric cancer, Bukitt lymphoma, Hodgkin lymphoma, angioimmunoblastic T-cell lymphoma, lymphomatoid granulomatosis, nasal T/NK lymphoma, post-transplantation lymphoproliferative disorders and smooth muscle tumors, AIDS disease-associated lymphomas, and innate immunodeficiency-associated lymphomas. EBER in situ hybridization of paraffin sections is the most sensitive method to detect EBV. However, the high protein content of the EBV membrane latent protein LMP-1 in classic lymphomas and lymphomatoid granulomatosis still allows immunohistochemistry to show EBV infection.
EBV antibody reagents can specifically bind to EBV molecular antigens. Immunohistochemistry kits containing EBV antibody reagents are suitable for the auxiliary diagnosis of EBV infection and certain tumors associated with EBV infection (such as poorly differentiated nasopharyngeal carcinoma, Hodgkin's disease, certain non-Hodgkin's lymphomas, etc.).