5041005374583

5041005374583
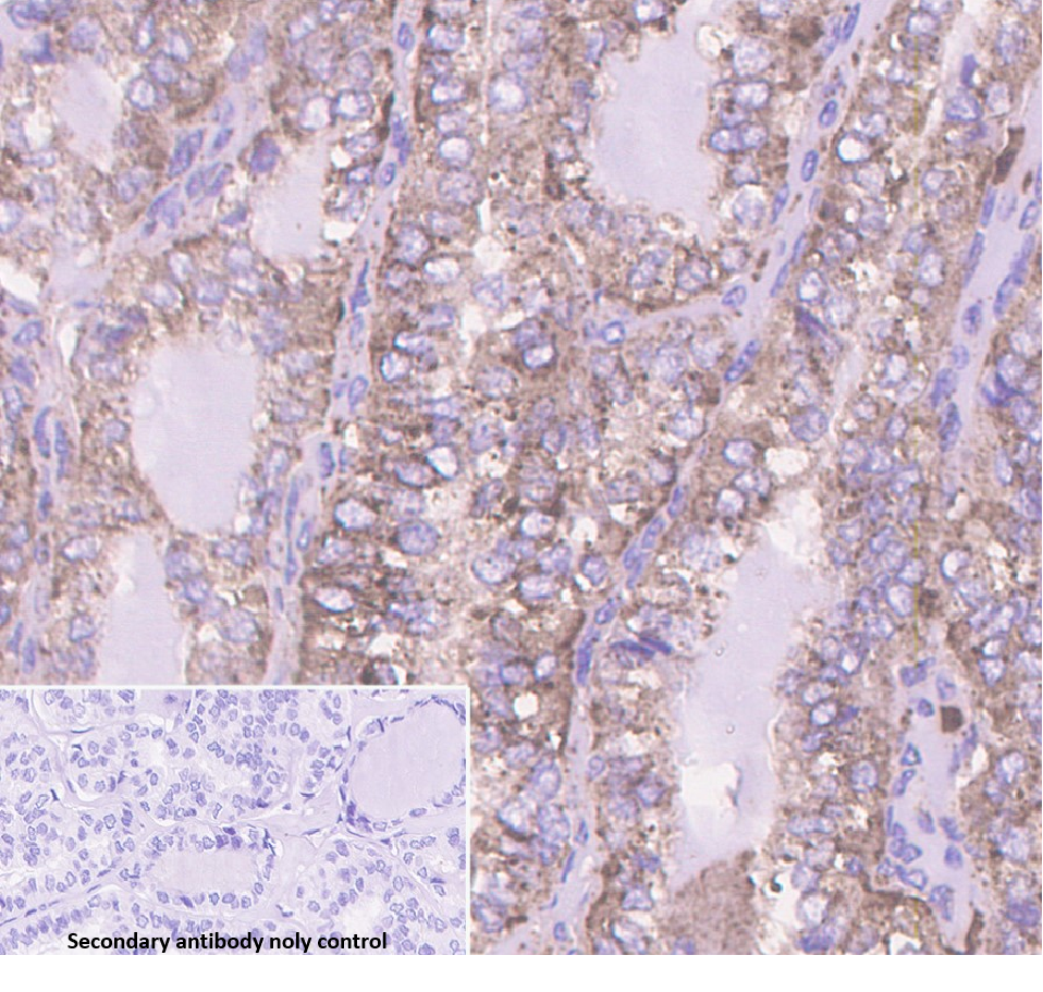
Clone number: EP81
isotype: rabbit monoclonal antibody
Cellular localization: cytoplasm
Tissue: paraffin section
Positive control:
Antibody incubation time.:
Antigen Repair:
CathespinD is an intracellular lysosomal enzyme widely present in cells, which has a certain correlation with tumor infiltration and metastasis, and is overexpressed in breast cancer and some other malignant tumors. It is overexpressed in breast cancer and some other malignant tumors. Studies have shown that CathespinD is often expressed in ER-negative breast cancers, and is associated with the proliferation and metastasis of breast cancer.
Cathepsin D antibody reagents can specifically bind to Cathepsin D molecular antigens. Immunohistochemistry kits containing Cathepsin D antibody reagents are suitable for the auxiliary diagnosis of breast cancer.