523988330605

523988330605
Clone number:
Isotype: rabbit monoclonal antibody IgG1
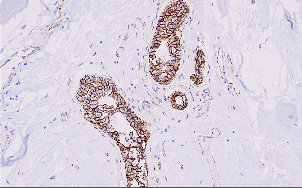
Cellular localization: cytoplasm/membrane, nucleus (breast fibromatosis)
Tissue: paraffin/frozen
Positive Control: Breast Fibromatosis
Antibody incubation time: 30-60min
Antigen repair: Heat repair (EDTA)
Beta-catenin's is a protein with a molecular weight of 92 kDa that is normally found in the cytoplasm beneath the membrane and is functionally linked to E-Cadherin. Mutations in the gene for this protein result in accumulation of the protein in the nucleus. In fibromatosis lesions of the breast and abdomen, colorectal cancer, and colorectal cancer, β-catenin can be found in the nucleus of the diseased cells, which helps to differentiate it from other spindle cell lesions occurring in these locations.
Beta-catenin antibody reagents bind specifically to Beta-catenin molecular antigen. Immunohistochemistry kits containing Beta-catenin antibody reagents are suitable for the precise diagnosis of colorectal cancer, hepatocellular carcinoma and medulloblastoma.