5511073330638

5511073330638
Clone number: see label
Isotype: see label
Cellular Localization:
Adaptive tissue: paraffin section
Positive Control:
Antibody Incubation Time:
Antigen Repair:
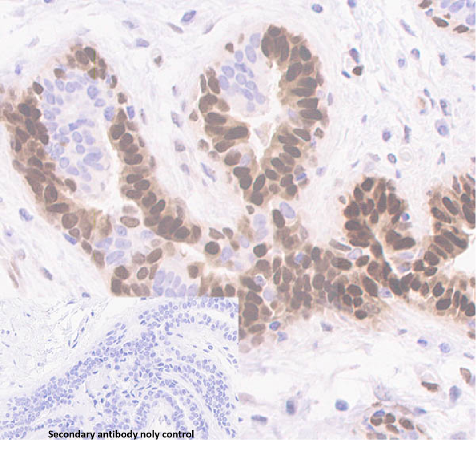
Basic Fibroblast Growth Factor b-FGF is a peptide-producing factor that functions as a cell growth inhibitor and is mainly used in prostate, pancreatic, and breast cancers.
The b-FGF Antibody Reagent binds specifically to the b-FGF molecular antigen. Immunohistochemistry kits containing the b-FGF Antibody Reagent are suitable for the precise diagnosis of prostate, pancreatic, and breast cancers.