
Clone number: F3
isotype: mouse monoclonal antibody
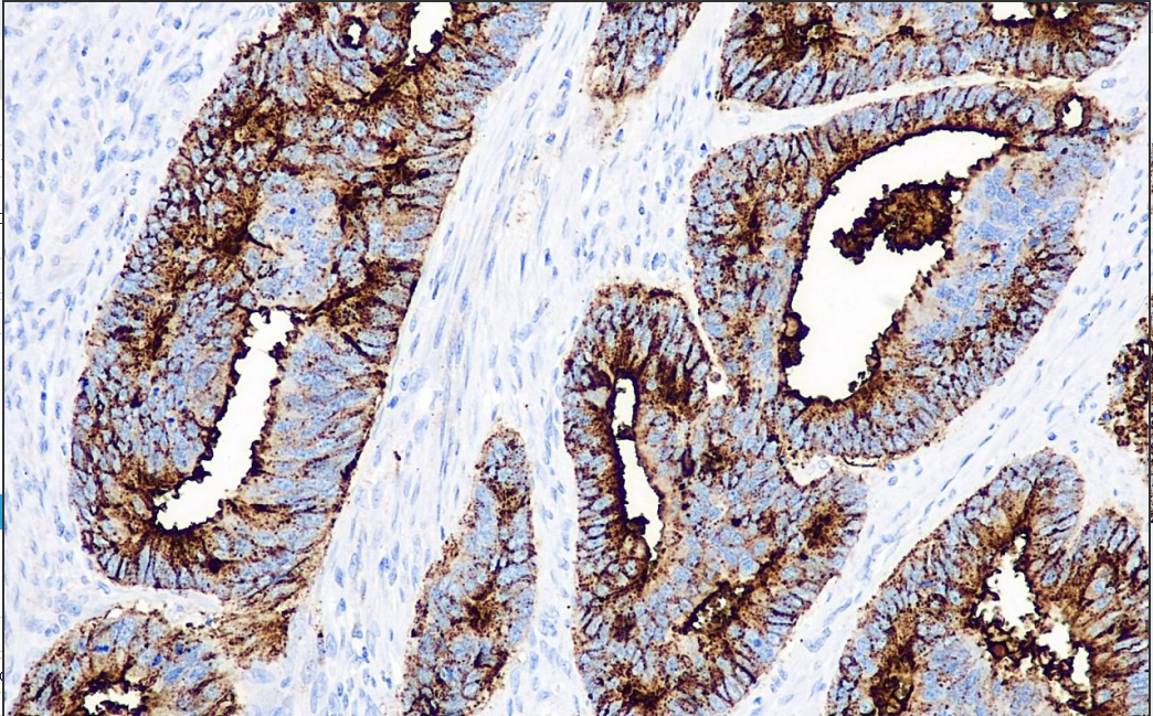
Cellular localization: cytoplasm
Tissue: paraffin/frozen
Positive control: Colorectal cancer
Antibody incubation time: 30-60min
Antigen repair: Thermal repair (EDTA)
BG8,Lewisy is a blood group antigen that can be used as a differential diagnosis between lung adenocarcinoma and epithelioid mesothelioma.BG8 is found in the SK-LU-3 lung cancer cell line, and its sensitivity and specificity in the differential diagnosis of lung adenocarcinoma and epithelioid mesothelioma can reach 93%.
The BG8 Antibody Reagent binds specifically to the BG8 molecular antigen. Immunohistochemistry kits containing the BG8 Antibody Reagent are indicated for the accurate diagnosis of adenocarcinoma, epithelioid mesothelioma and adenocarcinomas of various organ origins (lung, ovary, breast and stomach).