7601425473880

7601425473880
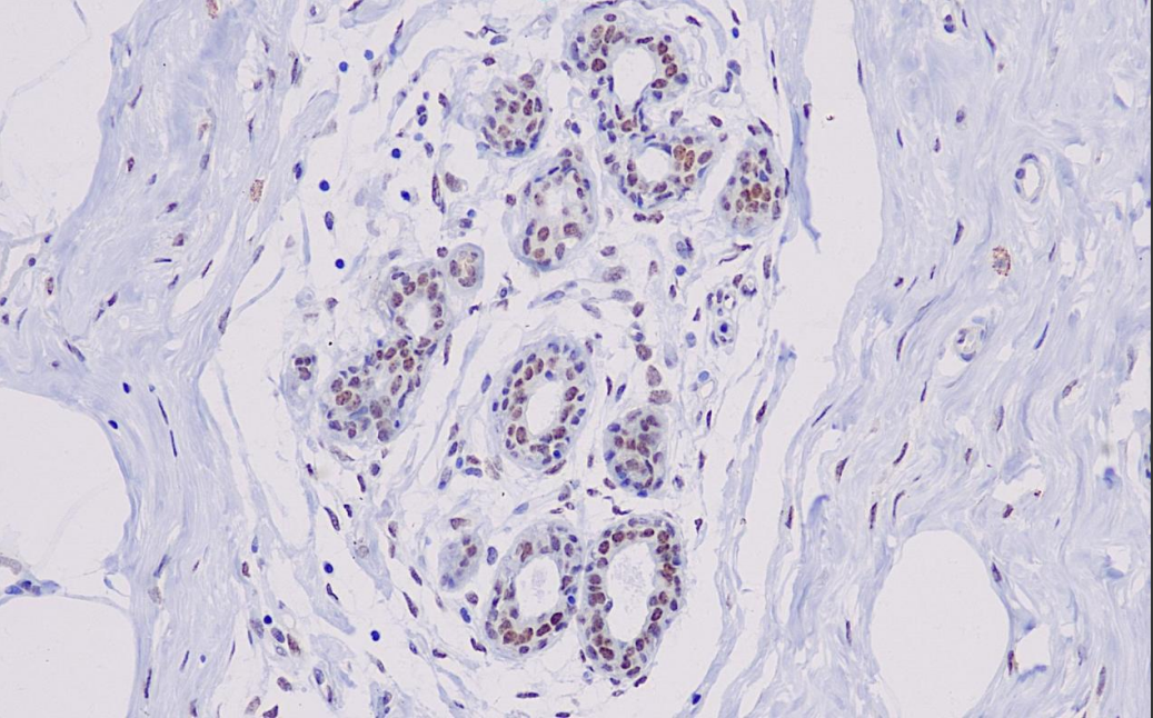
Clone number: OTI5D10
Isotype:
Cellular localization: nucleus
Tissue: paraffin/frozen
Positive control: mammary gland
Antibody incubation time: 60min
Antigen repair: Heat repair (EDTA)
The BRCA1 gene is located at 17q21 and encodes a protein consisting of 1,863 amino acids. According to research, about 5% to 10% of breast cancers are hereditary, and these familial breast cancers are often accompanied by mutations in the BRCA1 or BRCA2 genes, with mutation rates as high as 30% to 50%.Loss of function of BRCA1 increases the susceptibility to breast and ovarian cancer. This antibody is mainly used in breast and ovarian cancer research.
BRCA-1 Antibody Reagent binds specifically to the BRCA-1 molecular antigen. Immunohistochemistry kits containing BRCA-1 Antibody Reagent are suitable for the precise diagnosis of hereditary breast and ovarian cancers and so on.