
Clone number: OTI3B6
Isotype: see label
Cellular Localization:
Adaptive tissue: paraffin section
Positive Control:
Antibody Incubation Time:
Antigen Repair:
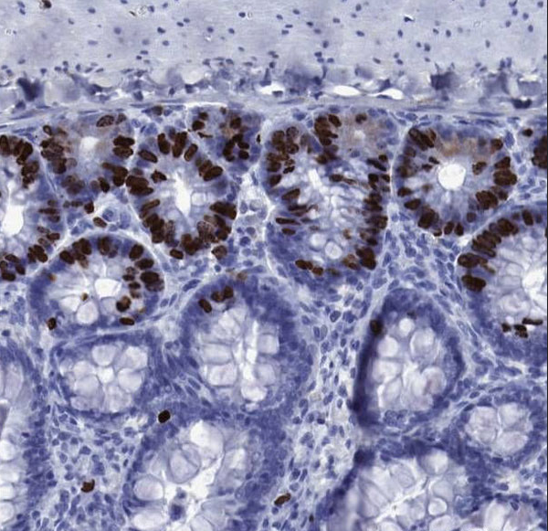
BrdU can be incorporated in vivo and in vitro into DNA strands synthesized by cells in S-phase. This antibody reacts with BrdU incorporated into cells of any species, cross-reacts with iododeoxyuracil, labels BrdU-involved S-phase cells, and is primarily used to study the effects of different factors on the cellular dynamics of normal/tumor tissues.
BrdU Antibody Reagent binds specifically to BrdU molecular antigens. Immunohistochemistry kits containing BrdU Antibody Reagent are indicated for use in the adjunctive diagnosis of hereditary hyperproliferative disorders (e.g., cancer, inflammatory lesions).