513988330594

513988330594
Clone number: UMAB219
Isotype: see label
Cellular localization: nucleus/plasmid
Suitable tissue: paraffin/frozen
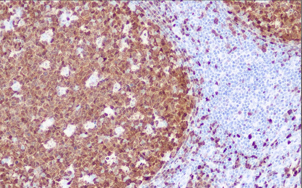
Positive control: B-cell lymphoma/appendix
Antibody incubation time: 30-60min
Antigen repair: Heat repair (EDTA)
BOB.1 is a transcriptional activator required for follicular germinal center formation and immunoglobulin production. BOB.1 interacts with Oct-1 and Oct-2, and can enhance the transcriptional function of Oct-1 and Oct-2 proteins. BOB.1 is highly expressed in splenic and peripheral blood granulocytes, and is often used in conjunction with Oct-2. BOB.1 is mainly used in the study of Hodgkin's lymphoma phenotyping, and is positively expressed in nodular lymphocyte-predominant Hodgkin's lymphomas, and negatively expressed in classic Hodgkin's lymphomas. It has been reported that some T-cell lymphomas also express Bob.1.
B Lymphocyte Specific Activation OCT Binding Protein 1 (Bob.1) Antibody Reagent binds specifically to the Bob.1 molecular antigen. Immunohistochemistry kits containing Bob.1 Antibody Reagent are suitable for the precise diagnosis of Hodgkin's Lymphoma and Large B Cell Lymphoma.