
Clone number: SP91
Isotype: see label
Cellular localization: cytoplasm/membrane
Tissue: paraffin/frozen
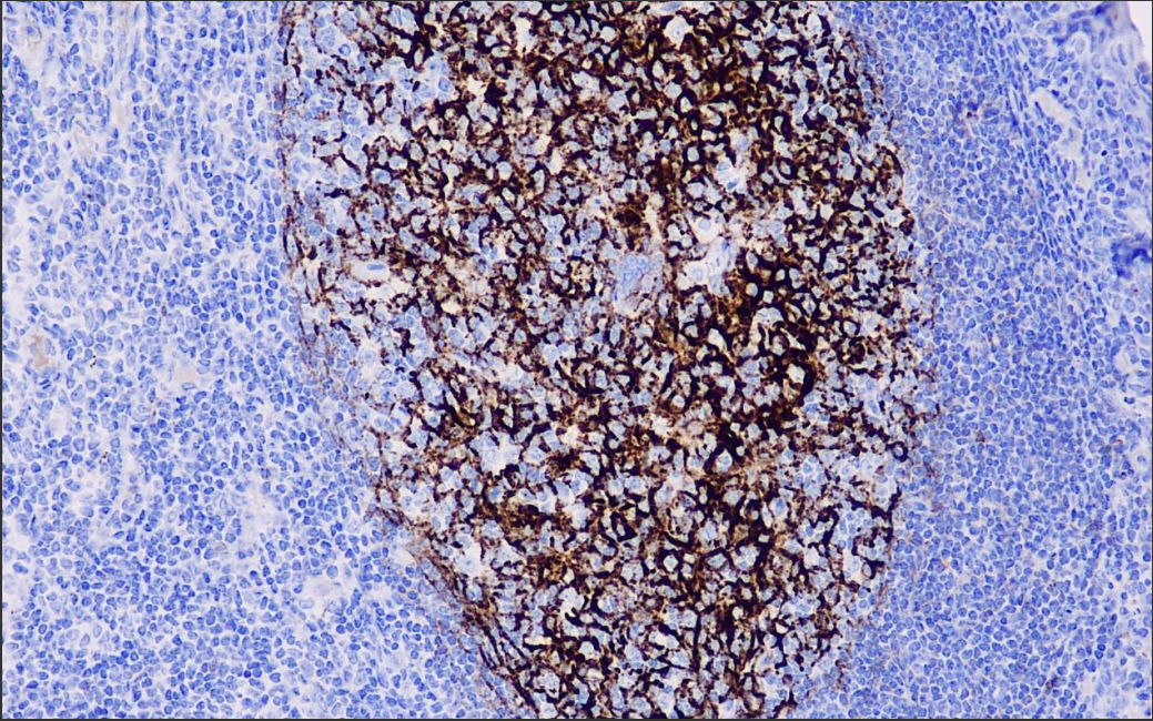
Positive control: tonsils/acute kidney transplant rejection
Antibody incubation time: 30-60min
Antigen repair: Thermal repair (EDTA)
C4d is a stable split product of classical complement activation and can be used to detect chronic kidney transplant rejection as well as hyperacute rejection, acute vascular rejection, acute cellular rejection, and borderline rejection. In these rejection reactions, C4d is deposited in the peritubular capillaries of the kidney.C4d assay can be used as an important indicator of renal graft survival and treatment of acute rejection.
C4d Antibody Reagent binds specifically to C4d molecular antigen. Immunohistochemistry kits containing C4d Antibody Reagent are suitable for precise diagnosis of transplant rejection and autoimmune diseases.