6171178396715

6171178396715
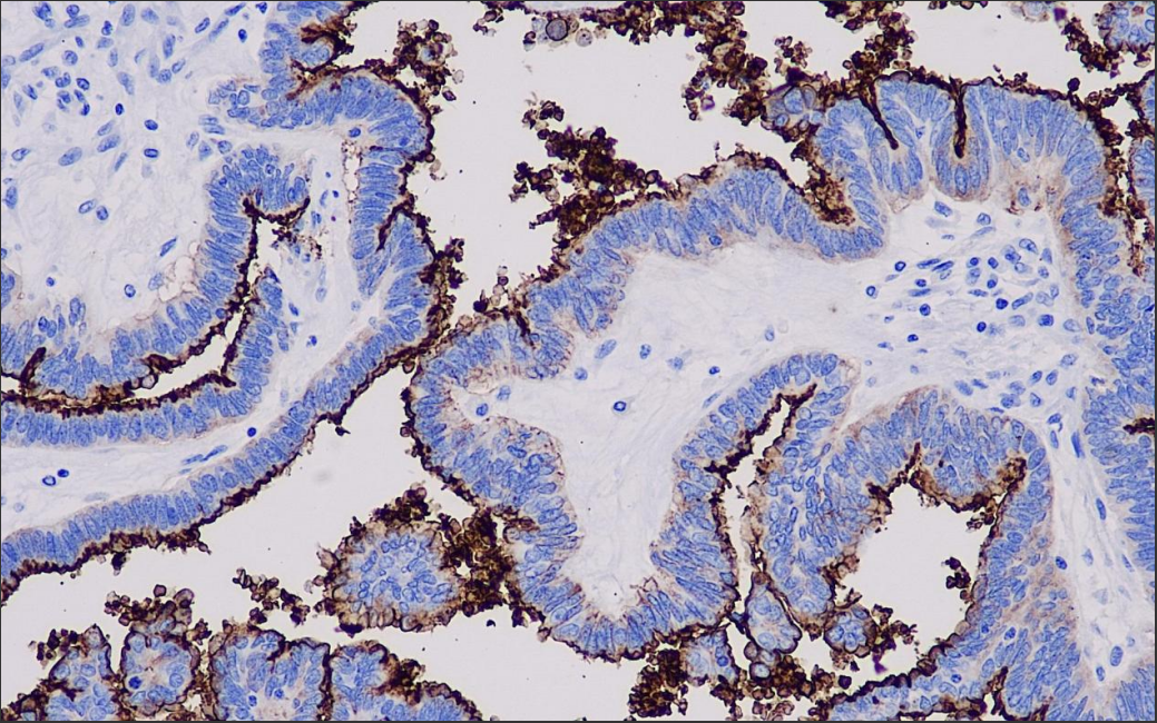
Clone number: OC125
Isotype: mouse monoclonal antibody IgG1/K
Cellular localization: cytoplasm/membrane
Tissue: paraffin/frozen
Positive control: Ovarian cancer
Antibody incubation time: 30-60min
Antigen repair: Thermal repair (EDTA)
CA125 is a membrane surface glycoprotein that is a major marker of epithelial ovarian cancer, especially plasma adenocarcinoma.CA125 is mainly expressed in plasma adenocarcinomas of the ovary and is hardly expressed in mucinous adenocarcinomas of the ovary, contributing to their study.CA125 may also be positive in papillary plasma carcinoma of the uterine cervix, adenocarcinoma of the uterine lining, clear-cell carcinoma of the bladder, epithelioid mesothelioma, and seminal vesicle carcinomas. CA125 is not expressed in normal ovarian and squamous epithelium.
CA-125 Antibody Reagent binds specifically to the CA-125 molecular antigen. Immunohistochemistry kits containing CA-125 Antibody Reagent are suitable for the precise diagnosis of ovarian cancer and its metastatic cancers.