332598253385

332598253385
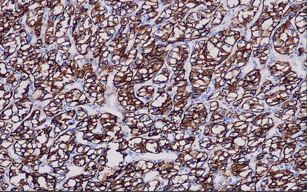
Clone number:
Isotype: mouse monoclonal antibody
Cellular localization: cell membrane
Tissue: paraffin/frozen
Positive control: renal clear cell carcinoma
Antibody incubation time: 30-60min
Antigen repair: Heat repair (EDTA)
Carbonic anhydrase IX is a zinc-containing metalloproteinase that catalyzes the reversal of CO2 hydration by enzyme locking with cell membranes. It is often expressed in the gastrointestinal tract, mainly in the stomach and gallbladder.CA IX is overexpressed in some epithelial malignancies, including the uterus, cervix, lungs, breast, and kidneys, and is not expressed in the corresponding normal tissues.The main role of CA IX is to maintain the extracellular acidic environment and to promote the proliferation of tumor cells.CA IX is used with a sensitivity of 85-100% to differentiate between clear cell renal carcinoma and smoky renal cell carcinoma. It can be used to distinguish renal clear cell carcinoma from smoky renal clear cell carcinoma, and is often used in combination with Pax-2, Ksp-Cadherin, and CD117.CA IX has strong diffuse and multifocal staining in uroepithelial carcinoma, while renal collecting tubule carcinoma is weakly stained, and thus CA IX can distinguish between these two.
CA IX Carbonic Anhydrase 9 Antibody Reagent binds specifically to the CA IX molecular antigen. Immunohistochemistry kits containing CA IX Antibody Reagent are suitable for the precise diagnosis of renal clear cell carcinoma and hypoxia-associated tumors (e.g., cervical cancer, breast cancer).