5321007418616

5321007418616
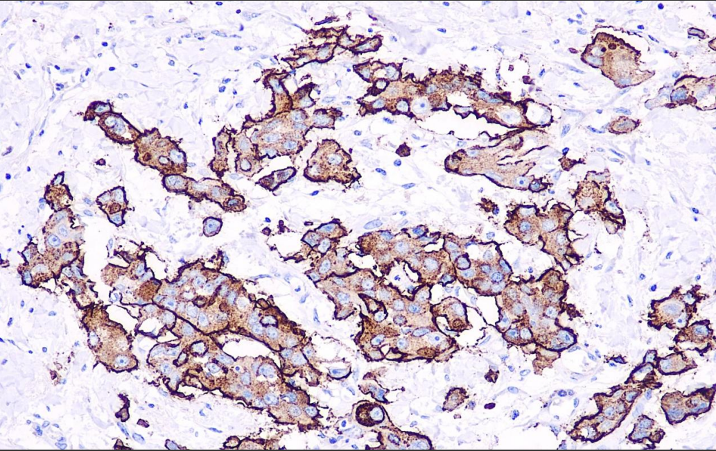
Clone number: DF3
Isotype: mouse monoclonal antibody IgG
Cellular localization: cytoplasm/membrane
Tissue: paraffin/frozen
Positive control: Breast cancer
Antibody incubation time: 30-60min
Antigen repair: Heat repair (EDTA)
CA15-3 antigen is a mucin-like glycoprotein with a molecular weight of 300-450 kDa, and its expression is closely related to the degree of differentiation and estrogen receptor status of breast cancer. It is important for the study of breast cancer and metastatic breast cancer, and can be used as one of the reference bases for breast cancer research, as well as for the study of other malignant tumors (e.g. lung cancer, ovarian cancer).
CA15-3 Antibody Reagent binds specifically to CA15-3 molecular antigen. Immunohistochemistry kits containing CA15-3 Antibody Reagent are suitable for the precise diagnosis of breast, lung, and ovarian cancer.