171332110198

171332110198
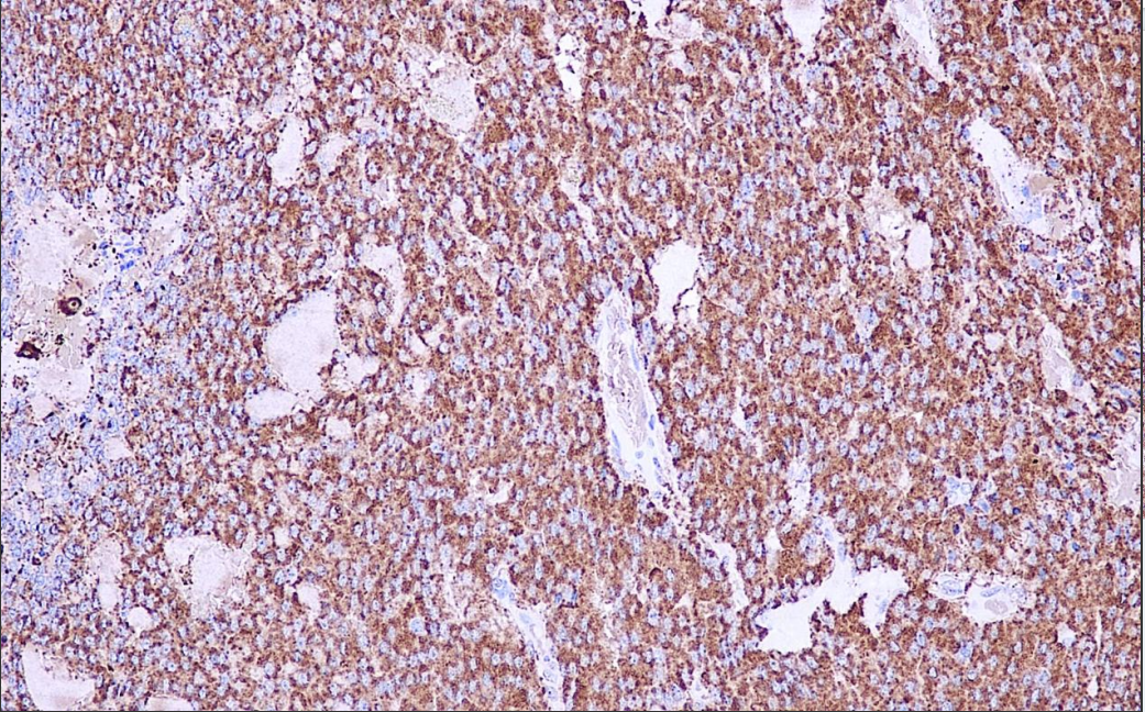
Clone number: OTI5H7
Isotype: mouse monoclonal antibody IgG
Cellular localization: cytoplasm
Adaptive tissue: paraffin/frozen
Positive control: medullary thyroid carcinoma
Antibody incubation time: 30-60min
Antigen repair: Heat repair (EDTA)
Calcitonin is secreted by parafollicular thyroid cells (C-cells), with a molecular weight of 350 kDa, and has the function of lowering the level of calcium in the blood.Calcitonin Antibody is mainly used in the study of C-cell hyperplasia, medullary carcinoma of the thyroid, parafollicular follicular carcinoma of the thyroid, and some neuroendocrine tumors.
Calcitonin Calcitonin Antibody Reagent binds specifically to the Calcitonin molecular antigen. Immunohistochemistry kits containing Calcitonin Antibody Reagent are indicated for the precise diagnosis of C-cell hyperplasia, medullary carcinoma of the thyroid, parafollicular follicular carcinoma of the thyroid, and selected neuroendocrine tumors.