276484187319

276484187319
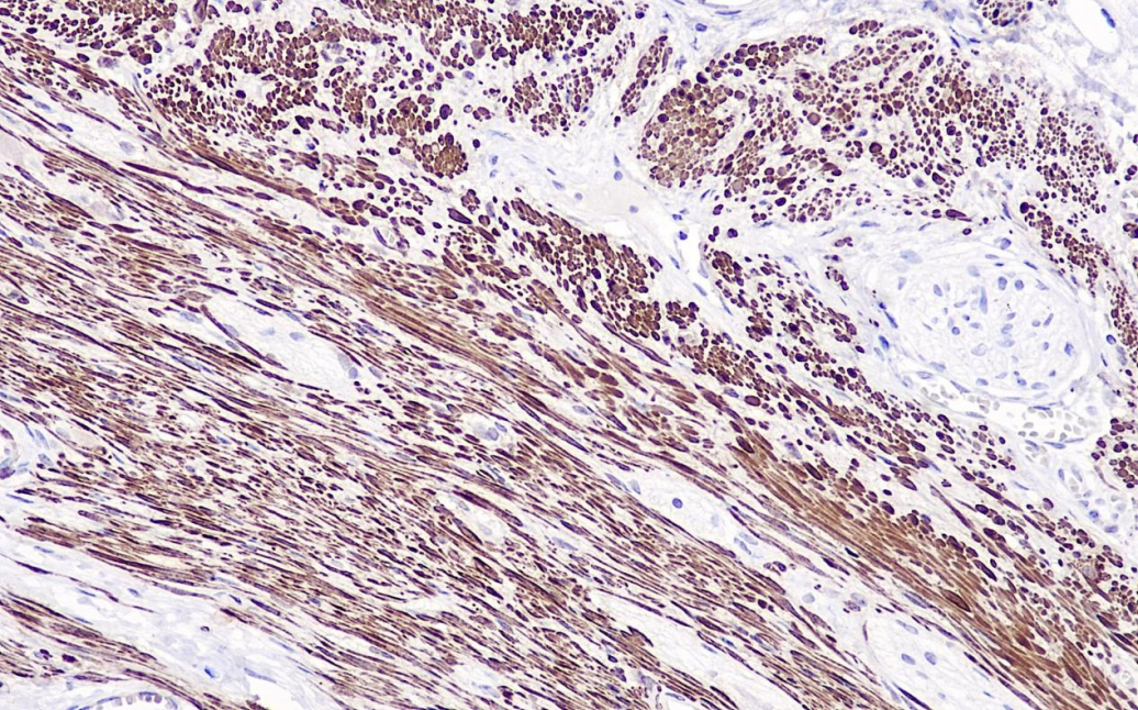
Clone number: EP63
Isotype: rabbit monoclonal antibody IgG
Cellular localization: cytoplasm
Tissue: paraffin/frozen
Positive control: appendix
Antibody incubation time: 30-60min
Antigen repair: Heat repair (EDTA)
Calponin-1 is an actin-binding, pro-myosin calmodulin protein with a molecular weight of 34 kDa, which is a specific protein of smooth muscle cells and has the function of regulating the contraction of smooth muscle.Calponin-1 labels the myoepithelial cells in smooth muscle tissues as well as in the case of mammary lesions, and can be used for the study of the distribution of myoepithelial cells in smooth muscle tumors and mammary lesions.
Calponin-1 Antibody Reagent binds specifically to the Calponin-1 molecular antigen. Immunohistochemistry kits containing Calponin-1 Antibody Reagent are indicated for the precise diagnosis of smooth muscle tumors, smooth muscle sarcomas, and myofibroblastic proliferative lesions.