418807275484

418807275484
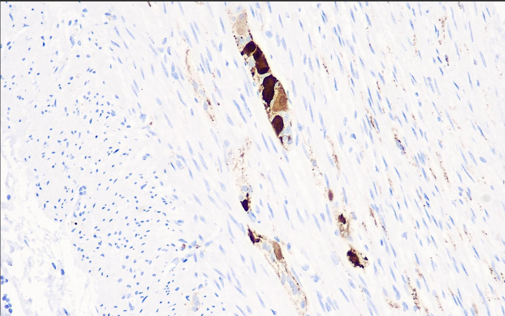
Clone number: RM324
Isotype: rabbit monoclonal antibody IgG
Cellular localization: nucleus/plasmid
Tissue: paraffin/frozen
Positive control: Appendix (nerve tissue)
Antibody incubation time: 30min
Antigen repair: Heat repair (EDTA)
Calretinin is a calcium-binding protein with a molecular weight of 29 kD, found primarily in neural tissue. Studies have shown that only 9.8% of adenocarcinomas exhibit localized positive staining for calretinin, while the vast majority of mesotheliomas positively express it, making calretinin a useful marker for the diagnosis of mesothelioma.
Calretinin Antibody Reagent binds specifically to the Calretinin molecular antigen. Immunohistochemistry kits containing Calretinin Antibody Reagent are suitable for the precise diagnosis of mesothelioma and adenocarcinoma.