6651235418770

6651235418770
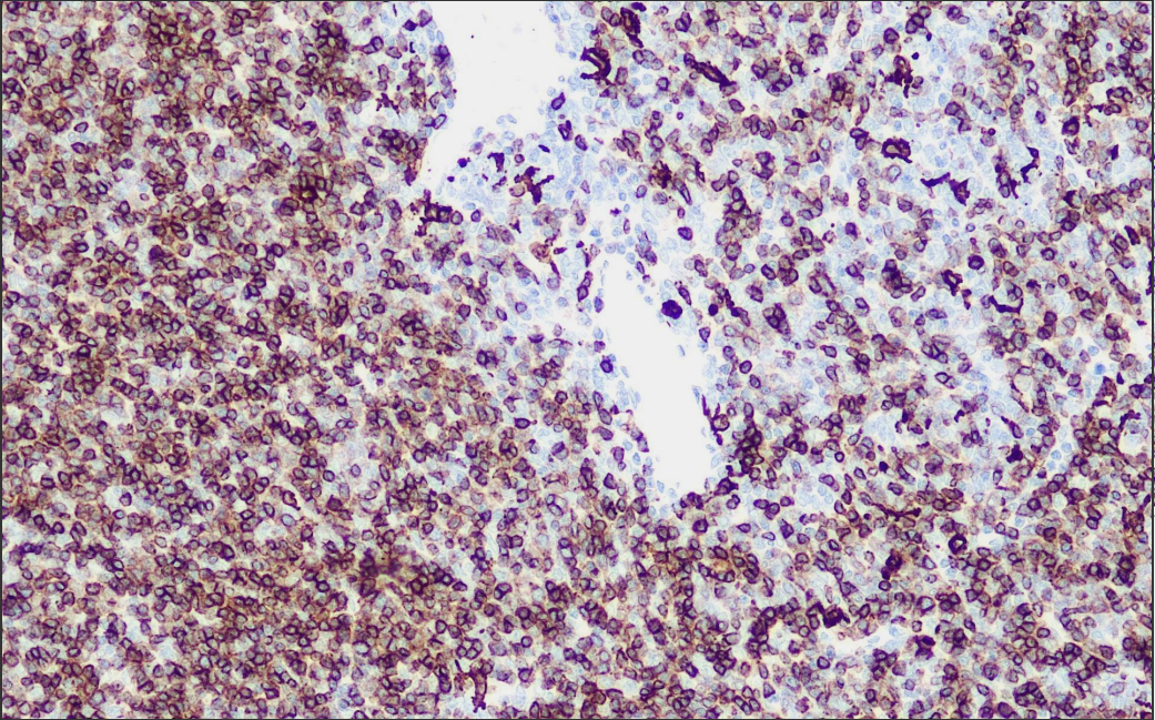
Clone number: EP3622
Isotype: rabbit monoclonal antibody IgG1/K
Cellular localization: cell membrane
Tissue: paraffin/frozen
Positive Control: Thymus
Antibody incubation time: 30-60min
Antigen repair: Heat repair (EDTA)
CD1a is a membrane surface protein with a molecular weight of 43-49 kD, which is mainly expressed in thymic cortical cells, cutaneous Langerhans cells, and dendritic cells of the dermis, etc. In certain malignant tumors, the expression of CD1a has a certain correlation with the prognosis, recurrence and metastasis of tumors.
CD1a Antibody Reagent binds specifically to CD1a molecular antigen. Immunohistochemistry kits containing CD1a Antibody Reagent are suitable for the precise diagnosis of leukemia, Lonhans histiocytosis and lymphoma.