99819095941155

99819095941155
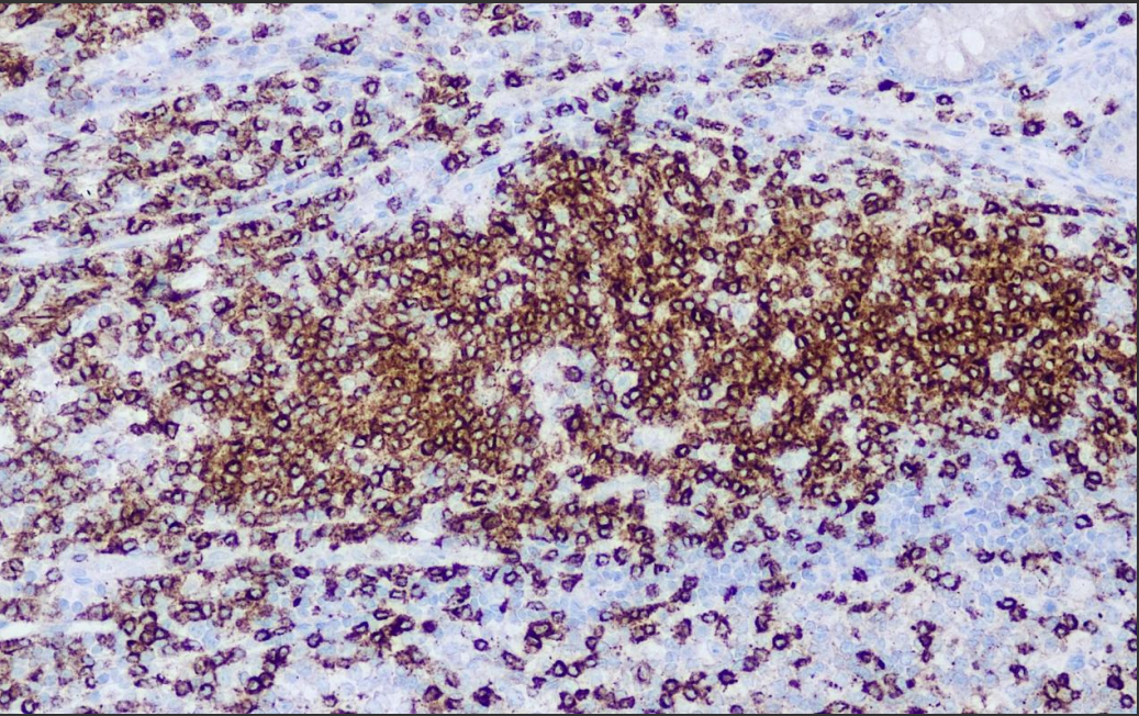
Clone number: UMAB6
Isotype: mouse monoclonal antibody IgG
Cellular localization: cell membrane
Tissue: paraffin/frozen
Positive control: tonsils
Antibody incubation time: 30-60min
Antigen repair: Thermal repair (Tris-EDTA)
CD2, also known as LFA-2, Leu-5 or sheep erythrocyte receptor, is a 45-58 kD monomeric molecule, a member of the immune Ig superfamily, which is present on the membrane surface of mature T cells and thymocytes, and is also expressed on NK cells.CD2 molecules are intercellular adhesion molecules as well as signal transduction molecules. This antibody is mainly used to identify T cells and tumors of their origin.
CD2 antibody reagents bind specifically to CD2 molecular antigens. Immunohistochemistry kits containing CD2 antibody reagents are suitable for the precise diagnosis of T-cell and NK-cell related diseases.