408798264473

408798264473
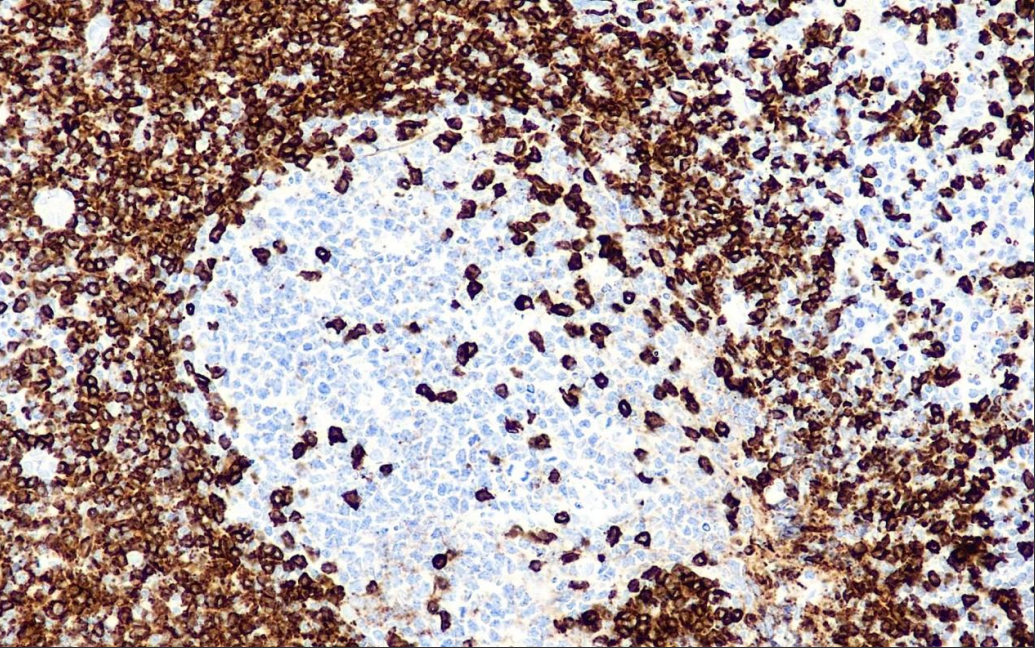
Clone number: EP41
Isotype: rabbit monoclonal antibody IgG
Cellular localization: cell membrane
Tissue: paraffin/frozen
Positive control: tonsils
Antibody incubation time: 30-60min
Antigen repair: Heat repair (EDTA)
The CD3 molecule is a complex molecule consisting of five peptide chains bonded non-covalently and is expressed on the surface of so mature T cells. It is positively expressed in greater than 95% of T-cell or NK-cell lymphomas and shows strong positivity in the perinuclear region, often overlying nuclear folds. It is currently the T cell marker of choice.
CD3 Antibody Reagent binds specifically to CD3 molecular antigen. Immunohistochemistry kits containing CD3 Antibody Reagent are suitable for the precise diagnosis of T-cell lymphomas, thymomas, and immunodeficiency diseases.