5601045330649

5601045330649
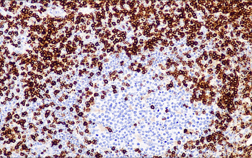
Clone number: EP132
Isotype: rabbit monoclonal antibody
Cellular localization: cell membrane
Tissue: paraffin/frozen
Positive control: tonsils
Antibody incubation time: 30-60min
Antigen repair: Heat repair (EDTA)
CD7 is a cell membrane protein with a molecular weight of 40 kD and is the earliest and most persistent T-cell specific antigen expressed on the membrane surface of thymocytes, and is found predominantly in the vast majority of T-cells, thymocytes, and most NK-cells. This antibody can be used to detect normal human T cells, and can also be used to classify lymphomas and leukemias.
CD7 Antibody Reagent binds specifically to CD7 molecular antigen. Immunohistochemistry kits containing CD7 Antibody Reagent are suitable for precise diagnosis and typing of T cell and NK cell related tumors.