5701121341660

5701121341660
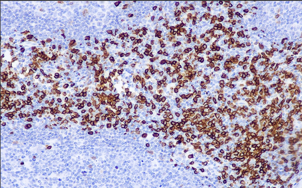
Clone number: SP16
Isotype: rabbit monoclonal antibody
Cellular localization: cell membrane
tissue: paraffin/frozen
Positive control: tonsils
Antibody incubation time: 30-60min
Antigen repair: Heat repair (EDTA)
CD8 molecule is a 32 kD glycoprotein present on the surface of suppressor/cytotoxic T cells, a receptor for MHC class I molecules, whose intracellular portion is associated with the p56lck casein kinase and regulates the function of the TCR/CD3 complex. This antibody is primarily used to label suppressor/cytotoxic T cells (approximately 25% to 30% of peripheral blood lymphocytes), usually in combination with CD4.
CD8 Antibody Reagent binds specifically to CD8 molecular antigen. Immunohistochemistry kits containing CD8 Antibody Reagent are indicated for the precise diagnosis of cellular lymphoma (CD4+/CD8-) and mesenchymal large cell lymphoma.