131124707701518

131124707701518
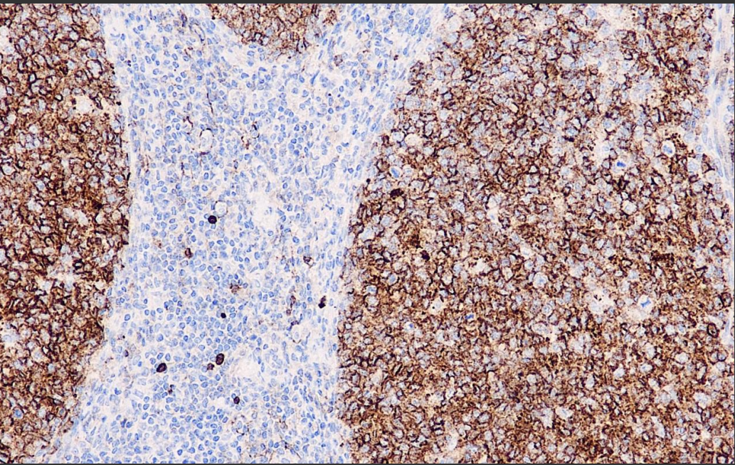
Clone number: UMAB235
Isotype: mouse monoclonal antibody IgG1
Cellular localization: cytoplasm/membrane
Tissue: paraffin/frozen
Positive control: tonsils/kidney
Antibody incubation time: 30-60min
Antigen repair: Thermal repair (EDTA)
CD10 is a marker for follicular center cells. patients with CD10+ ALL have a better prognosis than other types, and can be positive for Burkitt's lymphoma and germinal center mother cell/germinal center follicular lymphoma. Recently, it has also been found that the mesenchyme of endometrium and adenomyoma express CD10.
CD10 Antibody Reagent binds specifically to CD10 molecular antigen. Immunohistochemistry kits containing CD10 Antibody Reagent are indicated for the precise diagnosis of endometrial mesenchymal tumors and smooth muscle tumors.