1900361013202200

1900361013202200
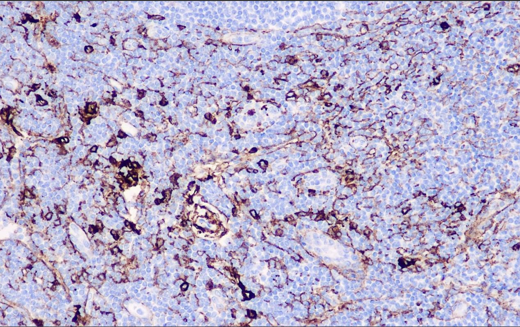
Clone number: SP187
Isotype: rabbit monoclonal antibody IgG
Cellular localization: cytoplasm/membrane
Tissue: paraffin/frozen
Positive control: tonsils/liver
Antibody incubation time: 30-60min
Antigen repair: Heat repair (EDTA)
CD13 antigen functions as a zinc-binding metalloproteinase in antigen presentation on the cell surface.CD13 is expressed on granulocytes, monocytes, and their precursors, and is a marker for acute myeloid leukemia and acute lymphoblastic leukemia.CD13 antigen functions as a zinc-binding metalloproteinase in antigen presentation on the cell surface.CD13 is expressed on granulocytes, CD13 is expressed on granulocytes, monocytes and their precursors and is a marker for acute myeloid leukemia and acute lymphoblastic leukemia.
CD13 Antibody Reagent binds specifically to the CD13 molecular antigen. Immunohistochemistry kits containing CD13 Antibody Reagent are suitable for the precise diagnosis and typing of acute myeloid and lymphoblastic leukemia.