6651282407770

6651282407770
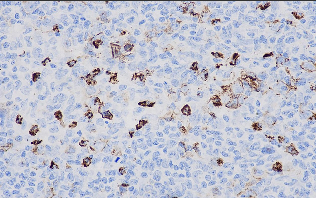
Clone number: MMA
isotype: mouse monoclonal antibody IgM
Cellular localization: cytoplasm/membrane
Tissue: paraffin/frozen
Positive control: Hodgkin's lymphoma
Antibody incubation time: 30-60min
Antigen repair: Heat repair (EDTA)
CD15 is one of the markers of mature granulocytes, R-S cells. This antibody labels all neutrophils in peripheral blood, early and middle childhood granulocytes in bone marrow, and also reacts with dendritic reticulocytes and R-S cells, and is mainly used to label R-S cells in Hodgkin's lymphoma.
CD15 Antibody Reagent binds specifically to the CD15 molecular antigen. Immunohistochemistry kits containing CD15 Antibody Reagent are indicated for the precise diagnosis of Hodgkin's lymphoma and granulocytic sarcoma.