1900370513202200

1900370513202200
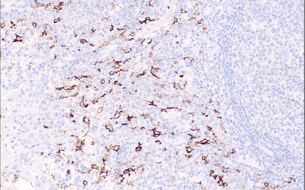
Clone number: DJ130c
isotype: mouse monoclonal antibody
Cellular localization: cytoplasm/membrane
Tissue: paraffin/frozen
Positive control: tonsils
Antibody incubation time: 30-60min
Antigen repair: Heat repair (EDTA)
CD16 is an Fc receptor with low affinity for the IgGFc γ receptor III complex.CD16 is a biomarker associated with monocytes and natural killer (NK) cells in the lymphatic system. Immunohistochemical detection of CD16 can be used to differentially diagnose hepatosplenic γ-δ T-cell lymphoma and γ-δ T-cell large granular lymphocytic leukemia from peripheral T-cell lymphomas such as mucosal and cutaneous γ-δ T-cell lymphomas. CD16 is reported to be expressed in approximately 58% of hepatosplenic γ-δ T-cell lymphomas and 86% of γ-δ T-cell large granular lymphocytic leukemias, whereas cutaneous and mucosal γ-δ T-cell lymphomas do not express CD16 This antibody can also be used for studies related to NK cells in autoimmune, neoplastic, and infectious diseases.
CD16 Antibody Reagent binds specifically to CD16 molecular antigen. Immunohistochemistry kits containing CD16 Antibody Reagent are suitable for the precise diagnosis of NK cell lymphoma and chronic NK cell proliferative diseases.