427836253495

427836253495
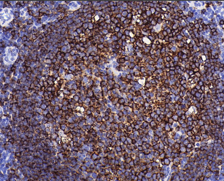
Clone number: L26
Isotype: Mouse Monoclonal Antibodies
Cellular localization: cell membrane
Tissue: paraffin/frozen
Positive Control: Tonsils/Spleen
Antibody incubation time:
Antigen repair: heat repair (citric acid)
CD20 is predominantly found in B-cells, late pre-B-cells and pre-plasma cells, and generally does not cross-react with T-cells. Because of its good cell specificity for B-cell lymphomas and acute and chronic lymphoblastic leukemias, etc., CD20 is the most commonly used B-cell marker for the classification of malignant lymphomas, especially T- or B-cell lymphomas.
CD20 Antibody Reagent binds specifically to CD20 molecular antigen. Immunohistochemistry kits containing CD20 Antibody Reagent are suitable for the precise diagnosis of diffuse large B-cell lymphoma and follicular lymphoma.