114022616711320

114022616711320
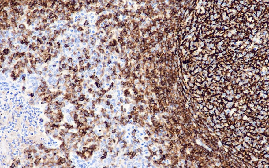
Clone number: EP64
Isotype: rabbit monoclonal antibody IgG
Cellular localization: cell membrane
Tissue: paraffin/frozen
Positive control: tonsils
Antibody incubation time: 30-60min
Antigen repair: Heat repair (EDTA)
CD21 is a glycoprotein with a molecular weight of 140 kD, expressed on the membrane of sIg+ resting B cells in peripheral blood and normal lymphoid tissues, and is a receptor for EBV.It is not expressed by T lymphocytes, monocytes, or granulocytes. This antibody is primarily used to label B cells, follicular dendritic cells and tumors of their origin.
CD21 Antibody Reagent binds specifically to the CD21 molecular antigen. Immunohistochemistry kits containing CD21 Antibody Reagent are indicated for the precise diagnosis of B cells, follicular dendritic cells and tumors of their origin.